Seleção de voluntários para tratamento do freio labial
A Disciplina de Periodontia da Faculdade de Odontologia de Bauru (FOB) da Universidade de São Paulo (USP) informa que está selecionando pacientes voluntários para participarem de uma pesquisa de Mestrado, que envolve o tratamento do freio labial superior e inferior.
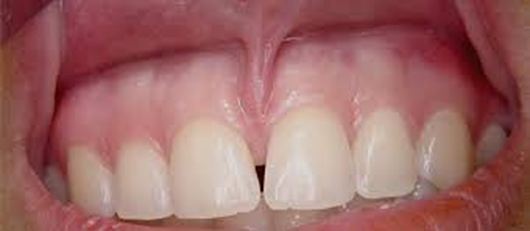
Para fazer parte da pesquisa, com tratamento, é necessário que o interessado tenha alteração no freio labial impedindo o movimento do lábio, a higienização correta, muitas vezes possui um espaço entre os dois dentes da frente, e com idade a partir de 13 anos.
Os interessados devem entrar em contato, de segunda a sexta, das 8h às 18h, via WhatsApp (14) 98139-9576, com a pesquisadora Isadora Messias, para agendamento de avaliação na Clínica II.
A FOB-USP localiza-se na Alameda Dr. Octávio Pinheiro Brisolla, 9-75, Vila Universitária, em Bauru (SP).
Luís Victorelli (MTb. 21.656)
Foto: Exemplo de freio labial (Divulgação)

